インプラント症例1
治療前

治療後

| 年齢・性別 |
60代女性 |
|---|---|
| 主訴 | 右下奥歯にインプラントしたい。良ければ左側も考えたい。 |
| 治療内容 | インプラントを埋入して2か月後に被せ物(ジルコニア)を装着。 |
| 治療期間 | 約3か月 |
| 治療費用 | 440,000円(税込) (インプラント埋入手術27万+インプラント被せ物13万+税) |
| リスク・副作用 | 外科処置が必要。 自費治療(保険適応外)となる。 |
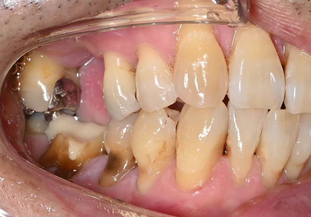
インプラント症例2
治療前

治療後

| 年齢・性別 | 50代女性 |
|---|---|
| 主訴 | 右上奥歯にインプラント治療希望。 |
| 治療内容 | インプラントが入る隙間がないので、まず矯正を行った その後インプラント埋入時にソケットリフト(上顎洞挙上術) |
| 治療期間 | 約1年 |
| 治療費用 | 605,000円(税込) (小矯正10万+インプラン |
| リスク・副作用 | 矯正治療、外科治療が必要。 ソケットリフト後、 自費治療(保険適応外)となる。 |
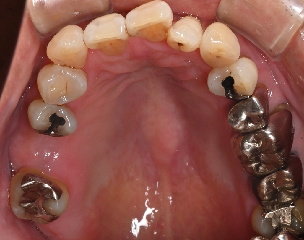
インプラント症例3
治療前

治療中

治療後

| 年齢・性別 | 70代 男性 |
|---|---|
| 主訴 | 「上の入れ歯が合わない。新しくしたい。」 |
| 治療内容 |
無口蓋義歯希望のためインプラントを4本埋入。 |
| 治療期間 | 5か月・10回 |
| 治療費用 | 総額:2,090,000円(税込) 【内容】上顎インプラントオーバーデンチャー 1,800,000円 ソケットリフト2本 5,0000円×2=100,000円 |
| リスク・副作用 | ・外科処置が必要。 ・自費診療(保険適用外)となる。 ・インプラント埋入後、旧義歯がゆるくなる可能性がある。 ・ソケットリフト後、稀に上顎洞内感染の可能性がある。 |
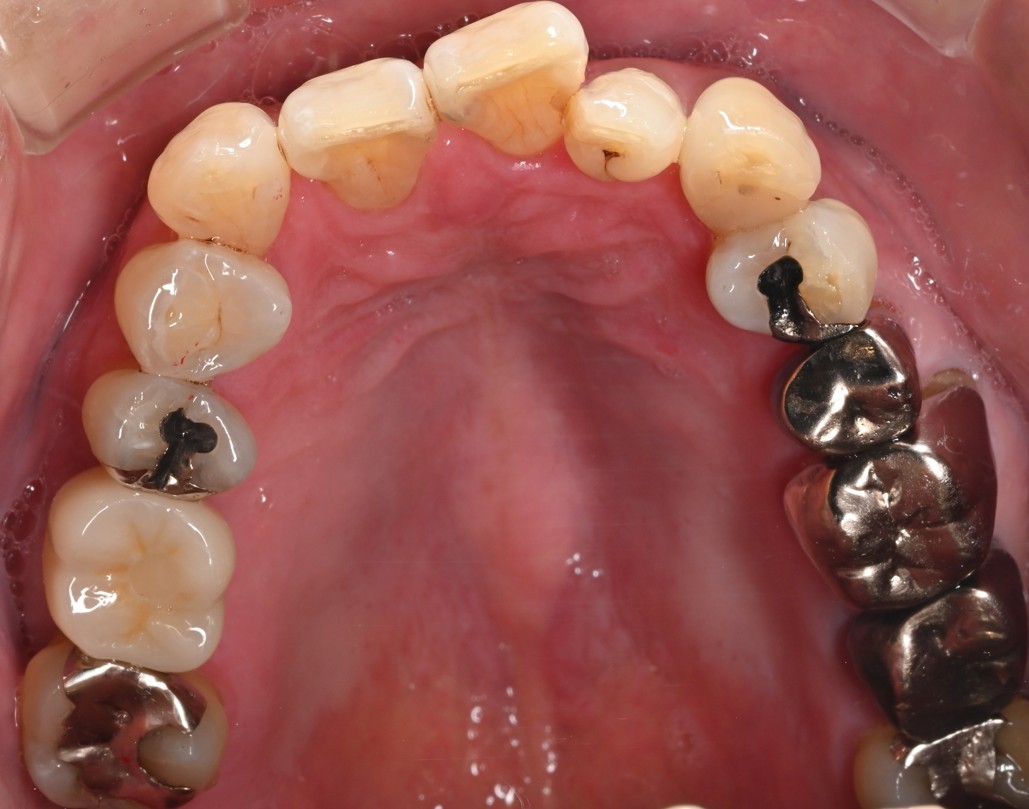
インプラント症例4
治療前

骨造成

治療後

| 年齢・性別 |
60代 女性 |
|---|---|
| 主訴 |
「左上奥歯にインプラント治療したい。」 |
| 治療内容 | 骨吸収が大きかったため、まず骨造成を行い、6か月後にインプラント埋入(ソケットリフト併用)を行った。 埋入後3か月後に上部構造(ジルコニア)を装着した。 |
| 治療期間 |
1年・15回 |
| 治療費用 | 総額:605,000円(税込) 【内容】 骨造成(GBR) 100,000円 インプラント埋入手術 270,000円 ソケットリフト 50,000円 インプラント被せ物 130,000円 |
| リスク・副作用 | ・外科処置が2回必要。 ・自費診療(保険適用外)となる。 ・骨造成後、腫れや内出血が起こる可能性がある。 ・ソケットリフト後、稀に上顎洞内感染の可能性がある。 |
インプラント症例5
治療前

治療後

治療前

治療後

| 年齢・性別 | 60代 男性 |
|---|---|
| 主訴 | 右上6が他院にてインプラントできないと言われたため 当院にてインプラン ト治療を希望 |
| 治療内容 | 右上6を抜歯し、3か月後にインプラント埋入を行った。 上顎洞底まで骨量が 不足していたため、ソケットリフトを同時に行った。埋入後3か月後に上部構 造(ジルコニア)を装着した。 |
| 治療期間 | 6ヶ月・10回 |
| 治療費用 | 総額:495,000円(税込) 【内容】 インプラント埋入手術 270,000円 ソケットリフト 50,000円 インプラント被せ物 130,000円 |
| リスク・副作用 | ・外科処置が必要 ・自費診療(保険適用外)となる ・ソケットリフト後、稀に上顎洞内感染の可能性がある |

