Select インプラント治療は
「歯科医院選び」が重要
痛み・腫れを
抑えたい
外科処置の
負担を軽減したい
治療期間を
短くしたい
長持ちする治療を
受けたい
骨の量・厚みが
足りない
複数の歯がボロボロ
失ってしまった
総入れ歯が
合わない
質の高い
メインテナンスを
受けたい
知識・経験が豊富な
歯科医師による
インプラント治療
正確な治療計画
×
精密な治療
×
徹底した感染対策
インプラント治療は、どこの歯科医院で受けても同じ結果が得られるわけではありません。
歯科医師の技術力はもちろん、診断力、設備、院内体制に大きく左右されます。
外科処置が必要なため、恐怖心を感じる方も多いですが、機能性・審美性に優れたインプラントは、生活の質を向上させます。
当院は、痛み・腫れを極力感じることがないように、CT・サージカルガイドを用いた精密なシュミレーションを行っています。
まらまデンタルクリニック新座では、インプラント治療に関する無料相談(60分間) を承っております。
治療方法や費用、治療後のケアなど、気になる点をじっくりご相談いただけます。
インプラント治療について詳しく知りたい方は、ぜひお気軽にお問い合わせください。
Reason 当院のインプラント治療が
選ばれている8つの理由
Less pain
and swelling サージカルガイドの使用・
事前の精密シュミレーションで
「痛み」、「腫れ」を抑えた
安全なインプラント治療
当院は、切開を最小限に抑えた痛み・腫れの少ないインプラント治療を提供するためにCT検査を行い、サージカルガイドを作製しています。血管や神経を傷つけるリスクを抑えた安全な手術にも貢献します。
適切な位置に
インプラントを
埋入可能
余計に
歯ぐきを切開する
リスクがない
治療の正確性が
向上する
手術時間を
短くできる
術後の
負担が軽減
見た目が
美しくなる

Straumann
Implant 世界トップシェアを誇る
「ストローマン」インプラントの使用
ストローマンインプラントは、世界中で多くの実績があり、長年の研究や臨床データに基づいて作られています。サイズや形の種類が豊富で、患者様おひとりおひとりの骨の量やお口の状態に合わせた治療がしやすいです。
インプラントメーカーの選び方は、治療の成功率や安心感に大きな影響を与える大切な要素のため、信頼できるインプラントメーカーを使用している歯科医院を選ぶことが重要です。
骨と結合
しやすい
症例データ
豊富
転院時も
安心

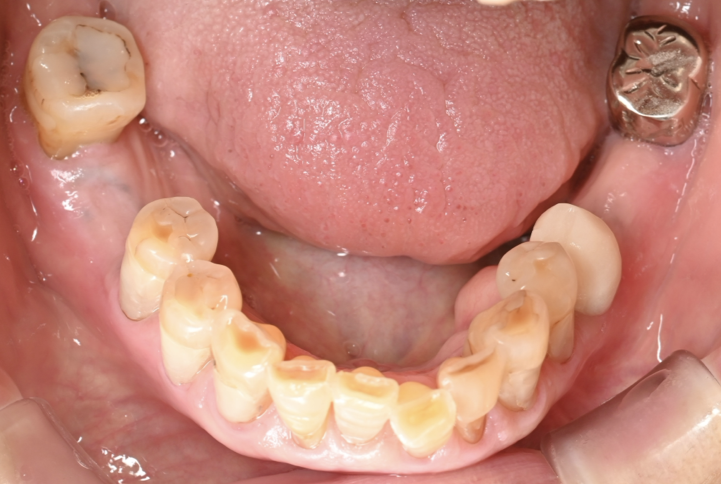
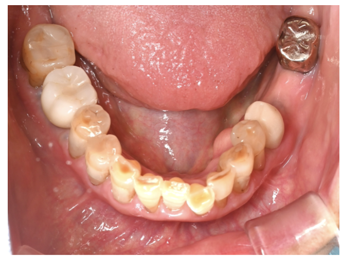
Case まらまデンタルクリニック新座の
インプラント治療の症例
Doctor 担当歯科医師

院長立川 光彦 Tachikawa Mitsuhiko
まらまデンタルクリニック新座では、長く、快適にインプラントをご使用いただくために安全に配慮したインプラント治療を提供しています。多くの歯科医師から選ばれているストローマンのインプラントを使用することはもちろん、CT・サージカルガイドを用いた精度の高い治療を実現しています。
失った歯を放置していると、口腔内のバランスが崩れてさらに歯を失うリスクが高まります。そうならないためには早期に歯を補う治療が大切です。
当院は、患者様の口腔内の状況やご希望に合わせた治療計画をご提案できますのでまずは無料相談にお越しください。
不安な気持ちにより添った安心感のあるカウンセリングと治療を行うことを心がけています。
他院で骨の量・厚みが足りないため 治療を断られてしまった方へ
セカンドオピニオンのご案内
当院は、インプラント治療のセカンドオピニオンを行っています。
インプラント治療は専門的な知識や経験が必要です。患者様の骨の状態などによって必要な治療が異なります。あまりインプラント治療の経験がない歯科医師の場合、治療ができないと診断する場合があります。
当院では、骨造成手術が必要な症例においても対応が可能です。インプラント治療を諦めたくない方は、お気軽にご相談ください。
このような方は
セカンドオピニオンをご利用ください
インプラント治療が
できないと言われた
他院の診断に
不安が残っている
機能性・審美性に優れた
治療を受けたい








